Nonconvulsive seizures (NCS) and nonconvulsive status epilepticus (NCSE) are frequently observed in human patients. Diagnosis of NCS and NCSE only can be achieved by the use of electroencephalography...
The objective of this study was to compare small intestinal inflammation with gastric inflammation in horses with and without equine gastric glandular disease (EGGD).
Levels of residues from veterinary drugs and other substances found in animals and animal-derived food remain low in the European Union, according to the latest report from EFSA.
To report the inciting cause and configuration of humeral condylar fractures in French Bulldogs, and to identify risk factors for complications associated with their surgical stabilization, as well...
U.S. pork producers approved a resolution to enhance the country’s live swine traceability system during the 2024 National Pork Industry Forum hosted by the National Pork Producers Council...
Equine pituitary pars intermedia dysfunction (PPID) is the most common endocrine disease observed in senior horses, affecting 20% to 25% of horses older than 15 years.
Feline leishmaniosis is a worldwide infection caused by the parasite of the genus Leishmania transmitted by sandflies. Based on the complexity of epidemiology and diagnosis of this infection, the...
Bronchiectasis is irreversible bronchial dilation that can be congenital or acquired secondary to chronic airway obstruction. Feline bronchiectasis is rare and, to our knowledge, has not been...
The record-setting 2024 International Production and Processing Expo (IPPE), which attracts worldwide industry leaders, was held January 30 to February 1 at Atlanta’s Georgia World Congress Center.
The aim of this multicenter retrospective study was to determine the influence of preclosure antiseptic versus saline lavage on surgical site infections (SSI) in dogs following tibial plateau...
Prenatal diagnosis comprises a set of investigations, both instrumental and laboratory-based, which aim to monitor the health of the foetus during pregnancy, from the early stages of embryonic...
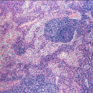
Canine lymphoma, which is one of the most common malignancies diagnosed in dogs, is typically seen as a systemic disease that often involves the lymph nodes, liver, and spleen, and may include the...
The prevention of diseases in the early stages of calf rearing is of fundamental importance. The onset of diseases often requires the administration of antimicrobials, but reducing their use in...
Exocrine pancreatic insufficiency (EPI) is a malabsorptive syndrome caused by insufficient secretion of digestive enzymes from pancreatic acini. The most common causes of EPI in dogs and cats are...
The objective of the study was to identify bacterial pathogens and their antimicrobial sensitivity profile associated with cases of canine progressive ulcerative keratitis.
Ascorbic acid (AA) is an antioxidant that might be beneficial for adjunctive treatment of sepsis in horses. The optimal dose and effects on oxidative status are unknown.