MY ACCOUNT | NEWSLETTER |

Advances in the treatment of squamous cell carcinoma in horses

This new study offers important findings on the development of the second most frequent tumor in this species.


A new study, led by researchers from the Royal Veterinary College (RVC), King's College London (KCL), the University of Edinburgh, and the University College London (UCL), has made a significant advance in the understanding of squamous cell carcinoma (SCC). ), a type of cancer that frequently occurs in horses.

SCC affects the genitals, the eyes, or the skin around the eyes. Tumors often have a reserve to poor prognosis, and available therapeutic approaches have variable success rates. Unfortunately, euthanasia for welfare reasons is necessary in a significant number of cases.

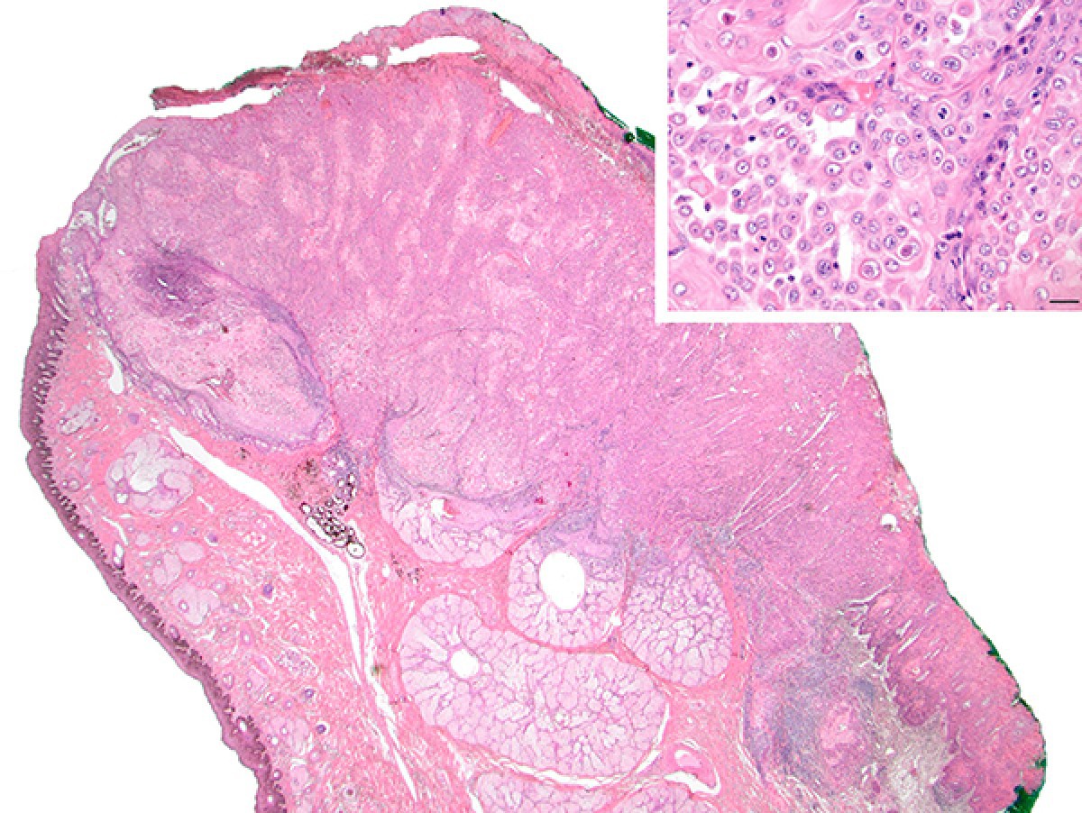
The keys to the aggressiveness of the tumor

Before this new research was published, pathologists and researchers Dr. Alejandro Suárez-Bonnet and Professor Simon Priestnall, both from the RVC, had already conducted research showing that equine SCC affects the penis often acquires the ability to degrade the extracellular matrix and become much more biologically aggressive. This is known as the "epithelial to mesenchymal transition."

This new study, recently published in Scientific Reports, results from the use of both "classical" anatomical histopathology assessment and state-of-the-art artificial intelligence to demonstrate a correlation between chronic inflammation and equine papillomavirus infection. And the progression of SCC of the equine penis. Several additional cancer-related signaling molecules used in tumors of this location in human medicine were also studied.

One health applied to equine medicine.

Simon Priestnall, Professor of Veterinary Anatomical Pathology at RVC, said: "Equine SCC is the second most common type of cancer in horses, with a variable prognosis, so we are delighted to have made this breakthrough that provides further understanding. And can lead to more effective treatments for horses and their owners. This project shows what can be achieved when different organizations work together towards a common goal. We hope that the similarities between the tumors in horses and people can offer real benefit. One Health ”.

Dr. Alejandro Suárez-Bonnet, Professor of Comparative Pathology at RVC, said: “I am delighted with the results of this study, which we hope will pave the way to improve the prognosis of horses diagnosed with SCC. However, our work is not done. With the help of a grant from the Horse Race Betting Levy, Simon and I lead a project investigating SCC of the penis, eye, and vulva in horses from a broader perspective. We hope to identify whether there is variability between the infectious status of the equine papillomavirus, the morphological and microscopic difference, and the progression of cancer to identify possible therapeutic targets, as well as diagnostic markers with prognostic implications to obtain maximum benefit. for this species ".

References

Arthurs C, Suarez-Bonnet A, Willis C, Xie B, Machulla N, Mair TS, Cao K, Millar M, Thrasivoulou C, Priestnall SL, Ahmed A (2020) Equine penile squamous cell carcinoma: expression of biomarker proteins and EcPV2. Scientific Reports 12; 10 (1): 7863. doi: 10.1038 / s41598-020-64014-3.

Suárez-Bonnet A, Willis C, Pittaway R, Smith K, Mair T, Priestnall SL (2018) Molecular carcinogenesis in equine penile cancer: A potential animal model for human penile cancer. Urologic Oncology. 36 (12): 532.e9-532.e18 doi: 10.1016 / j.urolonc.2018.09.004

New study heralds breakthrough for treatment of common equine cancer. Royal Veterinary College.

Like1
Dislike0
  • Please enter a comment


Name *
Email address *
Comment *


* Required fields

Information on the processing of your personal data
We inform you that, in compliance with the provisions of current national and European regulations for the Protection of Personal Data and Services of the Information Society and Electronic Commerce, by sending us this form you are expressly giving your consent to Grupo Asís Biomedia , SL, (hereinafter, "ASIS GROUP") so that, as the person in charge, it may process your personal data in order to respond to your request for contact and information by electronic means.

Likewise, when you expressly consent, we will process your personal data to send you specialized information, newsletters, offers and exclusive promotions from GRUPO ASIS and related companies.

For the aforementioned purpose, GRUPO ASIS may transfer your data to other companies linked to GRUPO ASIS or to third party service providers for the management of electronic communications and other security services, even in cases where they are outside of the European Union, provided that they legally guarantee the adequate level of protection required by European regulations.

At any time you can withdraw the consent given and exercise the rights of access, rectification, deletion, portability of your data and limitation or opposition to its treatment by contacting GRUPO ASIS by sending an email to protecciondatos @ grupoasis.com, or by written communication to address at Centro Empresarial El Trovador, 8th floor, office I, Plaza Antonio Beltrán Martínez 1, 50002, Zaragoza (Spain), indicating in either case the Ref. Personal data and the right you exercise, as well as attaching a copy of your ID or replacement identification document.


I have read and accept the treatment of my data according to the informed purpose and according Legal notes and the Privacy Policy
I wish to receive commercial information from GRUPO ASIS and related companies



More news

Texas A&M Research Reveals More Than 84% Of Dogs Show Signs Of Fear, Anxiety

Like0
Dislike0

Veterinary Pharmaceuticals Market Research and Global Forecast Report 2026-2031: Rising Demand for Parasiticides and Dermatology Products and Growth Potential in

Like0
Dislike0

EXPRESS: Azotaemia and outcomes in male cats with initial and recurrent urethral obstruction: a multicentre retrospective study of 601 cats (2020-2024).

Like0
Dislike0

Clinical findings and risk factors for clinical outcomes in dogs with myxomatous mitral valve disease hospitalized for cardiogenic pulmonary edema.

Like0
Dislike0

Soluble triggering receptor expressed on myeloid cells-1 as a predictive biomarker in sepsis: insights into cut-offs, mortality risk, and treatment guidance-secondary analysis of the Next GeneSiS-Trial.

Like0
Dislike0

Newsletter

 
 

News of interest

EVENTS

Copyright © 2026 - All Rights Reserved
ISSN 2768-198X

Top