MY ACCOUNT | NEWSLETTER |

Canine renal failure syndrome in three dogs


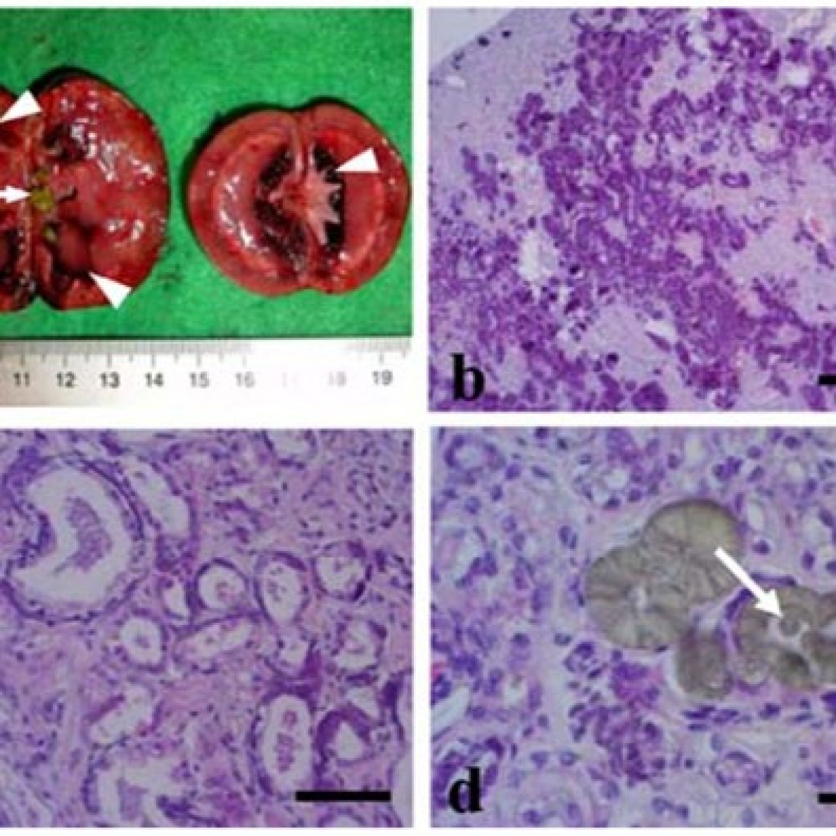
Three dead dogs were brought to the College of Veterinary Medicine, Kyungpook National University for study. Clinically, all the dogs showed emaciation, anorexia, depression, hemorrhagic vomiting and diarrhea for 7~10 days before death. All the clinical signs were first noted for about one month after feeding the dogs with commercial diets.

At necropsy, all 3 dogs had severe renal damage with the same green-yellowish colored nephroliths in the renal pelvis. They also showed systemic hemorrhage and calcification of several organs, which might have been induced by uremia. Microscopically, necrosis, calcification and calculi were detected in the renal tubules, and especially in the proximal convoluted tubules and collecting ducts of the kidney.

These findings were supportive of a mycotoxic effect, and especially on their kidneys. However, the precise cause of the toxic effect in these cases of canine renal failure could not be determined.


Authors: Jihu Kim, Donghwan Lee, Eunchae Yoon, Hyeona Bae, Daseul Chun, Jun-Gu Kang, Dong-In Jung, Do-Hyeon Yu
Source: https://pmc.ncbi.nlm.nih.gov/

Like0
Dislike0
  • Please enter a comment


Name *
Email address *
Comment *


* Required fields

Information on the processing of your personal data
We inform you that, in compliance with the provisions of current national and European regulations for the Protection of Personal Data and Services of the Information Society and Electronic Commerce, by sending us this form you are expressly giving your consent to Grupo Asís Biomedia , SL, (hereinafter, "ASIS GROUP") so that, as the person in charge, it may process your personal data in order to respond to your request for contact and information by electronic means.

Likewise, when you expressly consent, we will process your personal data to send you specialized information, newsletters, offers and exclusive promotions from GRUPO ASIS and related companies.

For the aforementioned purpose, GRUPO ASIS may transfer your data to other companies linked to GRUPO ASIS or to third party service providers for the management of electronic communications and other security services, even in cases where they are outside of the European Union, provided that they legally guarantee the adequate level of protection required by European regulations.

At any time you can withdraw the consent given and exercise the rights of access, rectification, deletion, portability of your data and limitation or opposition to its treatment by contacting GRUPO ASIS by sending an email to protecciondatos @ grupoasis.com, or by written communication to address at Centro Empresarial El Trovador, 8th floor, office I, Plaza Antonio Beltrán Martínez 1, 50002, Zaragoza (Spain), indicating in either case the Ref. Personal data and the right you exercise, as well as attaching a copy of your ID or replacement identification document.


I have read and accept the treatment of my data according to the informed purpose and according Legal notes and the Privacy Policy
I wish to receive commercial information from GRUPO ASIS and related companies



More news

40 Under 40: Dr. Cassi Fleming

Like0
Dislike0

CORRECTING and REPLACING Petwealth Emerges from Stealth with $1.7 Million in Funding, Landmark Partnerships, and a Mission to Become the Functional Health Platform for Pets

Like0
Dislike0

Unlocking the potential of ICT innovation in veterinary healthcare: The pathway to improve practices and business model

Like0
Dislike0

Canine papillomavirus: status of diagnostic methods and vaccine innovations

Like0
Dislike0

Analysing innovations among cattle smallholders to evaluate the adequacy of breeding programs

Like0
Dislike0

Newsletter

 
 

News of interest

EVENTS

Copyright © 2026 - All Rights Reserved
ISSN 2768-198X

Top